ODONTOLOGÍA GENERAL EN MANZANARES

image
image

La finalidad de la odontología general es el estudio, diagnóstico, tratamiento y manejo de todo lo relacionado con la salud bucodental, incluyendo gran variedad de tratamientos.

Los dentistas de Innovación Dental recomiendan visitar al dentista dos veces al año como mínimo, para detectar oportunamente la presencia de alguna enfermedad o alteración y, de este modo, mantener la dentadura en óptimas condiciones.

En nuestra clínica dental en Manzanares disponemos de amplios gabinetes dotados de modernos equipos que nos permiten brindarte una atención integral, de alta calidad, segura y eficiente.

Ventajas de la odontología general

  • Mantiene la salud oral en óptimas condiciones
  • Previene y detecta tempranamente diversos problemas dentales
  • Permite restaurar la funcionalidad y la estética de la cavidad oral
  • Promueve los hábitos saludables y la prevención de patologías orales
image

Limpieza

Este tratamiento también se conoce como profilaxis dental profesional, por medio de la cual se elimina toda la placa y el sarro que se acumulan sobre las superficies de los dientes y alrededor de la encía.

El objetivo principal de la limpieza dental es mantener la dentadura en óptimas condiciones y evitar la aparición de caries y de enfermedad periodontal. También ayuda a detectar tempranamente algún signo de alarma, por lo cual resulta útil hacerla, al menos, dos veces al año.

image
image

Empastes

Los empastes son obturaciones o restauraciones que se hacen sobre los dientes con el fin de reparar su estructura y devolver la estética y la funcionalidad. Las causas por las cuales es necesario realizarlos son la caries, las fracturas y los desgastes.

Este tratamiento se realiza generalmente con composite, un material muy resistente y estético que reemplaza el tejido dental perdido y funciona como tal.

Para su colocación, se debe preparar la estructura dental, removiendo todo el tejido dañado o afectado por caries. Posteriormente se lava la cavidad, se seca y se coloca el material en pequeños incrementos, endureciéndolos con una lámpara de luz ultravioleta.

Los empastes son tratamientos de larga duración siempre y cuando el paciente tenga los cuidados necesarios.

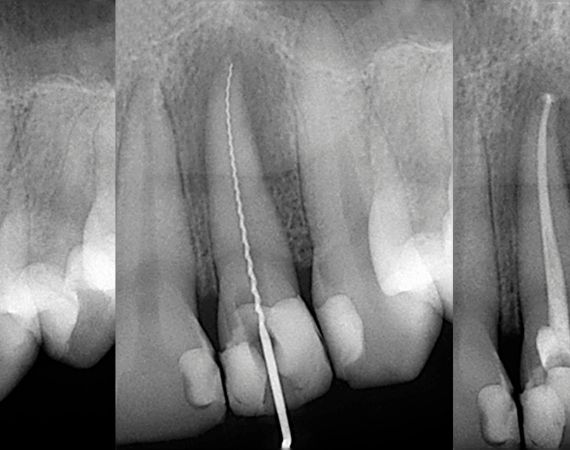
Endodoncia

La endodoncia es un tratamiento que se hace en el interior del diente, más conocido como tratamiento de conductos o tratamiento de nervio, que consiste en retirar el tejido pulpar de los conductos radiculares y rellenarlos con un material inerte biocompatible.

Este tratamiento es necesario cuando, por alguna razón, el nervio sufre un daño irreversible que provoca su infección y, en ocasiones, su muerte (necrosis). La principal causa es la caries no tratada, pero también puede ser por un traumatismo (golpe), una fractura complicada o un desgaste severo.

Los dientes que son sometidos a un tratamiento de endodoncia quedan más frágiles y susceptibles a la fractura debido a la pérdida de vitalidad y, por ende, de humedad e irrigación.

image